案例分享
-
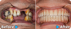
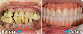
以為沒救的牙齒 也能用All-on重建找回人生的穩定與笑容 -
不再遮遮掩掩 讓穩固重建換回真正的笑容 -
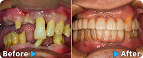
從牙周病到全口重生 All-on-6帶你穩固迎向新生活 -
告別活動假牙的不便 全口重建找回真正屬於自己的笑與咬 -
牙齒雖失生活不失 用 All-on-6 重建穩定與笑容 -
針對條件量身打造 穩固又舒適的全口新生活 -
年紀輕輕也能重啟微笑 用All-on-6找回完整的自己 -
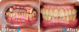
牙周病不必忍!全口重建一次解決 重啟健康新生活 -
年齡不是問題!穩固的重建 讓笑容與生活同步回來 -
重新打造笑容的起點 全口重建讓美好生活再次啟動 -
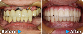
從無力咬合到穩固重生 All-on-4讓您笑得安心、吃得盡興 -
不再將就沒牙的日子,全口重建讓功能與笑容一次到位。 -
假牙不再飛出來 All-on-6給你穩定的笑與咬 -
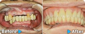
整組報廢沒關係?固定式全口重建讓你重新開口大笑 -
擺脫搖晃人生,用All-on-6重建穩定與自信的笑容 -
用All-on-6重新打造穩固美麗的一口好牙 -
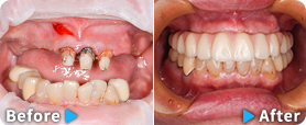
只剩兩顆也沒關係!All-on-5重建你的咀嚼力與好生活 -
留得住的守好 該換的換新 全口規劃就是這麼剛剛好 -
從搖搖欲墜到穩如真牙,All-on-6為笑容打下穩固基礎 -
從修補中解脫,用All-on-4一次到位,重拾安心笑容 -
上顎鈕扣式+下顎ALL ON 4 -
植牙不怕踩地雷 全口重建安全又有效率 -
令人驚喜! 細緻又自然的全口重建 -
牙齒凋零不能忽視 全口重建自信再現 -
全口重建幫您找回健康美觀 -
全口重建讓您更顯青春 -
補骨「打穩地基」 全口植牙堅若磐石 -
真牙留不留? 健康牙搭配植牙相得益彰 -
立即受力全口植牙 大媽一天變辣媽 -
10年假牙爛光,全口植牙重拾健康牙 -
陶瓷貼片 -
齒內美白







