全口重建

只剩兩顆也沒關係!All-on-5重建你的咀嚼力與好生活
X先生長年因牙周病與牙根斷裂的問題,導致上顎牙齒一顆接著一顆掉,只剩下兩顆還勉強撐著。他習慣性用後牙硬撐著咬東西,但每一口都小心翼翼,擔心再斷掉就完…

從無力咬合到穩固重生 All-on-4讓您笑得安心、吃得盡興
療程完成後,X先生的第一句話就是:「這感覺真的太不一樣了,咬東西變得紮實又穩定!」現在他不只恢復了飲食自由,更重拾了與人談笑的自在與信心。

重新打造笑容的起點 全口重建讓美好生活再次啟動
療程完成後,O小姐開心地表示:「這是我這幾年第一次這麼放心地吃東西,也敢自在地笑了出來!」這一口穩定又美觀的新牙,替她帶來的不只是生活上的便利,更是重新找回了笑容與自信。

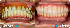
年齡不是問題!穩固的重建 讓笑容與生活同步回來
經完整檢查與影像分析後,我們為他規劃了上顎「All-on-6」、下顎「All-on-4」的全口固定式重建療程。透過多支植體固定整排牙橋,不僅穩固自然,咬合力更勝以往,清潔也比活動假牙來得容易許多。

年紀輕輕也能重啟微笑 用All-on-6找回完整的自己
經過詳細的檢查與3D影像評估後,我們為她規劃了上下顎「All-on-6」固定式全口重建療程。透過六支植體在每個顎骨中精準植入,支撐整排一體式假牙,不僅外型自然,咬合力也接近真牙,大幅改善她的生活品質。

牙齒雖失生活不失 用 All-on-6 重建穩定與笑容
經過全口3D影像與專業評估後,我們建議採用「上顎 All-on-6 固定式全口重建」的方式,透過六支植體植入,上方重建整排固定式假牙,不僅外型自然、咬合穩定,更能大幅提升日常生活的便利與自信。

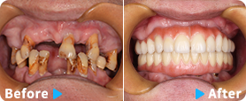
從牙周病到全口重生 All-on-6帶你穩固迎向新生活
X先生長年受牙周病困擾,牙齦紅腫、流血、牙齒鬆動是他日常的寫照。隨著病情惡化,全口牙齒逐漸失去穩定性,不僅進食困難,連說話都必須小心翼翼,深怕牙齒突然脫落。

不再遮遮掩掩 讓穩固重建換回真正的笑容
我們為O阿姨進行了全面的檢查與影像分析,發現她的上顎條件適合製作「鈕扣式假牙」,讓假牙能穩穩扣在植體上,不會再晃動、清潔也方便。而下顎牙齒狀況較差,我們建議進行「All-on-6」固定式重建,透過六支植體支撐整排假牙,恢復穩定咬合與自然外觀。

以為沒救的牙齒 也能用All-on重建找回人生的穩定與笑容
X先生露出久違的笑容說:「我原本以為這輩子都不能正常吃飯了,沒想到還能擁有這麼穩、這麼自然的一口牙!」這不只是牙齒的重建,更是他對生活的信心回歸。

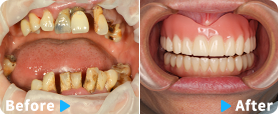
嚴重牙周病大缺牙 服務客戶笑口難開
在工作上服務客戶笑容是標準配備,江小姐說自己常常板著臉,不敢露出自己的牙齒。和醫師詳細討論全口重建的各種優點,在醫師專業的手術之後,自然的齒列與色澤,讓她相當滿意。
