關於權泓
關於我們
診所設備
環境介紹
門診時間
交通資訊
海外預約
醫療團隊
黃泓傑醫師
翁慈遠醫師
安哲辰醫師
陳勁豪醫師
主治項目
牙周病
牙周病基礎知識
牙周檢查與診斷
牙周治療方式
自費牙周手術與費用
術後恢復與照護
常見問題Q&A
日常預防指南
All on 4
基礎介紹
了解術式
缺點
費用
假牙材質挑選
術後保養
失敗的拯救
人工植牙
基礎介紹
植牙費用
植牙推薦
手術導板
補皮
全口重建
全口重建心態
全口重建案例
鈕扣式假牙
基礎介紹
保養及維護費用
常見問題 Q&A
牙齒矯正
台中牙齒矯正
認識齒顎矯正
傳統矯正
隱形矯正
矯正QA
美白貼片
微笑模擬
陶瓷貼片
一日假牙
Cerec 3D齒雕
睡眠呼吸中止症
基礎介紹
何謂睡眠呼吸中止症?
止鼾牙套
最新消息
診所公告
媒體報導
案例分享
Locator鈕扣式假牙
全口重建
人工植牙
牙齒美白
微笑模擬
牙齒矯正
陶瓷貼片
患者見證
病患見證影音區
All on 4
植牙
聯絡我們
預約諮詢
ALL ON 4手冊索取
植牙密碼詢問表單
免費笑容分析
台中院:04-22608811和美院:04-757-3399
案例分享
Locator鈕扣式假牙
全口重建
人工植牙
牙齒美白
微笑模擬
牙齒矯正
陶瓷貼片
患者見證
Locator鈕扣式假牙
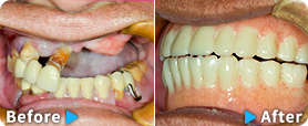
鈕扣式假牙解決嚴重缺牙困擾
案例A先生受嚴重缺牙所苦,嚴重影響發音與進食。在權泓牙醫接受鈕扣式假牙療程後,不僅找回自然齒列,其穩固且易於清潔的便利特性讓他印象深刻。
鈕扣式假牙 重塑全口咬合機能
案例C先生長期深受大範圍缺牙與牙周病所苦,對看診的排斥感令他遲遲未接受治療。在權泓牙醫團隊親切且詳盡的諮詢下,他選擇了鈕扣式假牙方案,成功重拾健康笑容。
鈕扣式假牙解決二次假牙失敗困擾
案例E小姐曾因假牙治療失敗導致口腔健康惡化,面對高昂的重建費用遲遲不敢行動。在權泓牙醫團隊專業評估下,她選擇了高品質且能負擔的鈕扣式假牙,成功找回安心的優質笑容。
鈕扣式假牙 幫助重拾咬合原動力
案例G先生面臨嚴重的牙周病與齒列凌亂。他來到權泓牙醫接受高品質的鈕扣式假牙療程,術後對其優異的穩固力與簡便的清潔方式深感滿意。
重整歪斜咬合平面,鈕扣式假牙優質首選
案例I先生因上排牙周病問題,導致咬合平面嚴重歪斜且骨頭條件受限。在接受鈕扣式假牙療程後,成功重建穩固的卡扣支撐,大幅提升整體咀嚼功能與生活品質。
鈕扣式假牙幫助找回專業自信
案例K陳先生,因上顎長期全口無牙困擾,影響日常對話與進食情況。在權泓牙醫接受高品質鈕扣式假牙療程後,其優異的穩固力讓他重獲清晰發音與自然笑容。
鈕扣式假牙幫助恢復日常生活
案例L先生長期因嚴重牙周病無法正常飲食,在權泓牙醫接受鈕扣式假牙療程後,其優異的穩固力讓他終於能大口享受蔬果與健康美食,生活品質大幅提升。
鈕扣式假牙幫助找回自信與食慾
案例M先生因下排嚴重缺牙,在權泓牙醫接受高品質鈕扣式假牙療程後,不僅重拾安穩的咀嚼力,自然的外觀更讓他能從容面對各種商務應酬,工作再忙也能維持優質生活。
鈕扣式假牙幫助重拾味蕾幸福
案例N先生受全口缺牙困擾,無法自在品嚐食物。在權泓牙醫接受鈕扣式假牙療程後,其穩定咬合力讓他重獲進食樂趣,優質的術後成果更讓他找回生活品質。
重啟穩固與自信的笑容
案例O先生受缺牙困擾多年,因醫師專業細緻的評估而決定接受鈕扣式假牙療程。術後對於穩固的咬合感與重現的自然美感感到十分驚豔,讓他能更自信地與人交流。
重建咬合,重塑優質人生
案例P先生透過鈕扣式假牙改善了嚴重的齒列凌亂與缺牙,術後對穩固的功能與自然的外觀給予高度好評。
鈕扣式假牙清潔方便超省心
案例Q先生因下排嚴重牙周病及缺牙問題,長期受咀嚼不便困擾。在接受鈕扣式假牙療程後,他對穩固的咬合與自然外觀感到驚艷,特別是睡前能整副取下清洗的設計,讓他大讚方便又衛生。
重建上排缺牙,鈕扣式假牙重拾優質生活
案例R先生長期受上排嚴重缺牙與牙齒鬆動所苦,連日常進食都成了壓力。在接受鈕扣式假牙療程後,他對穩固的咬合力與自然的外觀感到非常滿意,終於能自在享受退休後的社交與美食生活。
重拾咀嚼力,找回自然笑容
案例S先生下排牙齒幾乎全失,長期受進食與外觀困擾。在接受鈕扣式假牙療程後,他對其卓越的穩定性與自然美感深感驚艷,不僅進食變得輕鬆,更重拾了如同真牙般的自信笑容。
揮別牙齦萎縮困擾,重拾滿意笑容
案例T女士受嚴重牙齦萎縮與缺牙所苦,經過醫師專業解說與細心治療,不僅解決口腔困擾,更重獲自然美觀的笑容,對療程結果非常滿意。
擺脫上排缺牙陰霾,重拾安心笑容
案例U先生過去因上排牙齒缺陷而不敢開懷大笑。在權泓牙醫團隊謹慎親切的評估下,他完成了鈕扣式假牙療程,不僅找回美觀與咀嚼力,更感受到前所未有的安心,徹底顛覆對看牙的恐懼。
告別缺牙與齒列亂,找回自信笑容
案例V先生:「換上新假牙後,開口再也不用遮遮掩掩!不僅咬合安穩有力,連齒列亂的問題也一併解決了,笑容變得更有親和力。」
Locator鈕扣式假牙新生活
案例Y女士因為嚴重的牙周病,吃東西時常常覺得咀嚼無力。為了尋求更好的解決方案,來到了權泓牙醫。
Locator鈕扣式假牙煥新體驗
案例Z女士過去配戴傳統活動假牙,不僅經常感到摩擦不適,牙齦萎縮也讓假牙變得越來越鬆動,為了改善這些問題,她決定來到權泓牙醫尋求協助。
Locator鈕扣式假牙穩定、舒適、自然
現在吃東西實在方便多了,不用再擔心假牙突然鬆掉。而且晚上睡前自己拆下來清洗也很簡單,這個方案真的很適合我。
<PRE
1
2
3
4
NEXT>