關於權泓
關於我們
診所設備
環境介紹
門診時間
交通資訊
海外預約
醫療團隊
黃泓傑醫師
翁慈遠醫師
安哲辰醫師
陳勁豪醫師
主治項目
牙周病
牙周病基礎知識
牙周檢查與診斷
牙周治療方式
自費牙周手術與費用
術後恢復與照護
常見問題Q&A
日常預防指南
All on 4
基礎介紹
了解術式
缺點
費用
假牙材質挑選
術後保養
失敗的拯救
人工植牙
基礎介紹
植牙費用
植牙推薦
手術導板
補皮
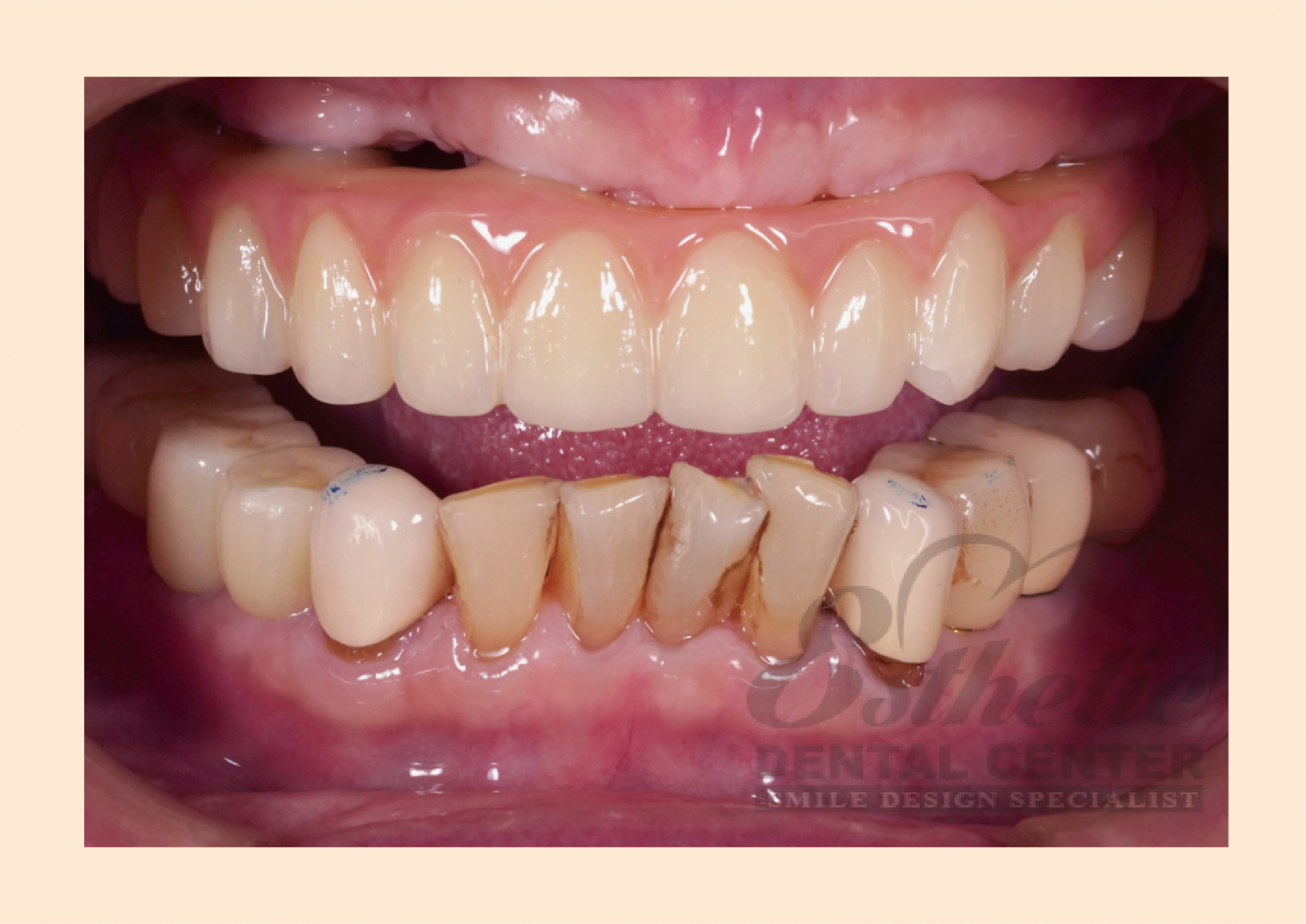
全口重建
全口重建心態
全口重建案例
鈕扣式假牙
基礎介紹
保養及維護費用
常見問題 Q&A
牙齒矯正
台中牙齒矯正
認識齒顎矯正
傳統矯正
隱形矯正
矯正QA
美白貼片
微笑模擬
陶瓷貼片
一日假牙
Cerec 3D齒雕
睡眠呼吸中止症
基礎介紹
何謂睡眠呼吸中止症?
止鼾牙套
最新消息
診所公告
媒體報導
案例分享
Locator鈕扣式假牙
全口重建
人工植牙
牙齒美白
微笑模擬
牙齒矯正
陶瓷貼片
患者見證
病患見證影音區
All on 4
植牙
聯絡我們
預約諮詢
ALL ON 4手冊索取
植牙密碼詢問表單
免費笑容分析
台中院:04-22608811和美院:04-757-3399
案例分享
Locator鈕扣式假牙
全口重建
人工植牙
牙齒美白
微笑模擬
牙齒矯正
陶瓷貼片
患者見證
Home
>
案例分享
>
全口重建
>
全口重建案例 M
全口重建案例 M